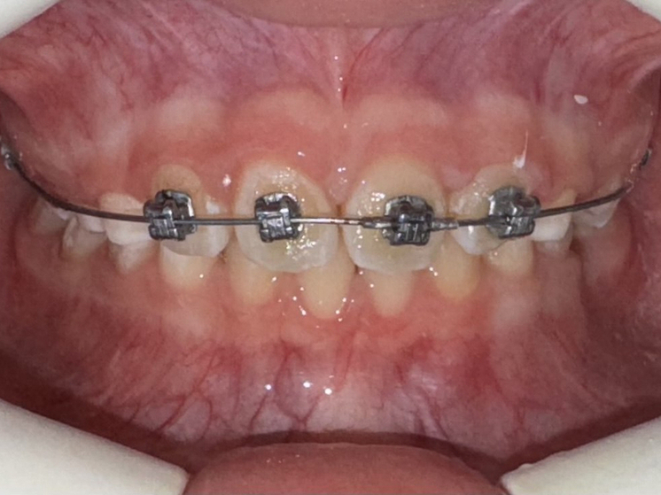
Частичная брекет-система – это вид несъемной ортодонтической аппаратуры, состоящей из отдельных замков (брекетов) и дуги, часто в пределах одной челюсти. Она устанавливается на постоянные зубы в сменном прикусе, когда часть из них остается молочными. Об этом рассказали специалисты Псковской стоматологической поликлиники на Октябрьском проспекте, 29.
Показания: неправильное соотношение челюстей в пределах одного сегментаострый дефицит места для прорезывания отдельных зубов (клыки, премоляры)неправильное положение отдельных зубов (поворот зуба вокруг свой оси, промежутки между центральными зубами, высокое положение отдельных зубов относительно зубного ряда)аллергическая реакция на материал, из которого изготавливаются съемные аппараты (ортодонтические пластинки)Виды замков (брекетов):лигатурные (без крышки)безлигатурные (с крышкой)
В настоящее время чаще используются безлигатурные брекеты. За счет свободного расположения ортодонтической дуги, зубы, которые находятся в системе, испытывают меньшее напряжение при перемещении. Это позволяет уменьшить риски возможных осложнений. Такой вид фиксации позволяет сократить количество посещений к врачу-ортодонту без потери эффективности лечения.
Часто активные пациенты испытывают трудности при ношении съемной аппаратуры (ортодонтических пластинок). Большие конструкции в полости рта вызывают дискомфорт, формируют комплексы у детей, связанные с изменением речи. Ортодонтическая пластинка требует строго режима ношения, что сложно выполнить в период школьного времени.
Частичная брекет-система решает эти проблемы. Она не зависит от возможности пациента самостоятельно снять аппарат, не приводит к дефектам речи и сокращает сроки лечения, работая 24 часа в сутки.
При остром дефиците места в постоянном прикусе часто прибегают к удалению отдельных зубов. Использование частичной брекет-системы в сменном прикусе позволяет этого избежать.
Частичная брекет-система позволяет решить небольшие ортодонтические проблемы за короткий срок. Пациент испытывает меньший дискомфорт во время лечения, что позволяет добиться хорошего результата.
Любое лечение начинается с первичной консультации врача-ортодонта. Выбор ортодонтической аппаратуры зависит от клинической ситуации, результатов диагностики, желания и возможности пациента, заключили специалисты.
